Aus Baby's werden Hunde....

Es ist 2019...... Februar.

Aus unseren Baby's sind Hunde geworden.....

6 Nachkommen sind nun geröngt (alle im zuchtfähigen Bereich) und 5 haben ein Wesen.

Allen 2 und 4 Beinern geht es nach Rückmeldung gut.

Am 28.05.2019 dürfen wir schon unsere 2. Purzeltag feiern......

Hundehochzeit -- Welpen

Das ist Gannicus aus den Kristallhöhlen.

Er hat sich ganz leise in mein Herz geschlichen. 

Er wird bei uns bleiben und in unser Rüdenrudel aufgenommen. 

....... 6 Wochen .......

Schon 26 Tage.....

Es wird gespielt, erkundet, endeckt, geruht..... Mama ist all gegenwärtig.

1. Woche

Mama und den Babys geht es gut. Zwei Tage nach der Geburt sind die Bauchnabel abgefallen. Alle haben gut zugenommen und ihre Geburtsgewichte fast verdoppelt. Die Pfötchen haben Pigment bekommen und die Nasen beginnen..... Polly kümmert sich liebevoll un ihre Kinder. Sie lässt sie ausgiebig trinken und putzt bis in die kleinste Hautfalte :-) :-). In der Wurfkiste herrscht eine ausgeglichene ruhige Stimmung. 

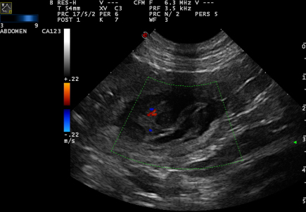
Am 26.04.2017 waren wir zur Ultraschalluntersuchung in Dortmund. Polly Poket ist tragend. Jetzt hoffen wir auf eine volle Wurfkiste gegen Ende Mai. Vielen Dank an Fr. Dr. Mörke für die wunderbaren Bilder.

Polly Pocket von Gugi's Kate und Atlan aus den Kristallhöhlen hatten am 30.03.2017 ein Date. Wir sind in der guten Hoffnung, daß dieses Date nicht ohne Folgen geblieben sein wird. Jetzt heißt es erstmal warten, brüten und Daumen drücken...........

Druckversion | Sitemap
© Nicole Schiffer